医学影像数据集集锦
前言
本项目的目标是整理一个医学影像方向数据集的列表,提供每个数据集的基本信息,并在其License允许的条件下提供不限速下载。项目按照数据集关注的器官对其进行分类。需要整理的数据集很多,我们十分期待大佬们为项目作出贡献。
- 如果您发现项目已有的内容中有任何错误(包括但不限于格式问题,网址失效,数据错误,简介信息补充等),可以通过PR进行修正。
- 如果您想用的数据集没有出现在列表中,请按照模板提交Issue,并尽量详细的描述数据集信息。我们会尽快添加并可以提供免费代下。
当前共收录约 20 个方向的 70+ 个数据集
肝脏
LiTS
| 名称 | 标注内容 | 类型 | 模态 | 数量 | 标签格式 | 文件格式 |
|---|---|---|---|---|---|---|
| LiTS | 肝脏/肝脏肿瘤 | 分割 | CT | 130+70 | 0/1标签 | nii |
LiTS数据集包含130组训练数据和70组测试数据,其中70组测试数据是没有标签的。LiTS训练集中包含3DIRCADB中的所有数据,所以如果合并多个数据集不要合并这两个。
分割结果可以在线提交进行评估,在线提交方法参考。 在线提交地址
数据集论文:The Liver Tumor Segmentation Benchmark (LiTS)
相关项目: 基于Paddle的肝脏CT影像分割
Sliver07
| 名称 | 标注内容 | 类型 | 模态 | 数量 | 标签格式 | 文件格式 |
|---|---|---|---|---|---|---|
| Sliver07 | 肝脏 | 分割 | CT | 20+10 | 0/1标签 | MetaImage |
这个数据集比较老了,现在用的也比较少,一些研究会将sliver和lits合起来,这样基本上就是所有常用的关于肝脏分割的公开数据了。mhd格式可以用 SimpleITK 读,在medseg项目中有转换成nii的脚本
3D-IRCADB
| 名称 | 标注内容 | 类型 | 模态 | 数量 | 标签格式 | 文件格式 |
|---|---|---|---|---|---|---|
| 3D-IRCADb 01 02 | 肝脏/肝肿瘤 | 分割 | CT | 20+2 | surface mesh | dcm |
3D-IRCADb是比较早的一个数据集,有两个子集,分别包含20组和2组CT片子。
CHAOS
| 名称 | 标注内容 | 类型 | 模态 | 数量 | 标签格式 | 文件格式 |
|---|---|---|---|---|---|---|
| CHAOS | 肝/肾/脾 | 分割 | CT+MRI | 40CT+120MRI | 0/1标签 | dcm |
CHAOS是一个多脏器,多模态分割数据集。
TCGA-LIHC
| 名称 | 标注内容 | 类型 | 模态 | 数量 | 标签格式 | 文件格式 |
|---|---|---|---|---|---|---|
| TCGA-LIHC | 肝 | CT/MR/PT | 97患者/237套 | 无标签 | dcm |
MSD肝脏血管分割
| 名称 | 标注内容 | 类型 | 模态 | 数量 | 标签格式 | 文件格式 |
|---|---|---|---|---|---|---|
| MSD肝脏血管分割 | 肝脏血管 | 分割 | CT | 443 | 0/1 | nii |
肺
MSD肺脏分割
| 名称 | 标注内容 | 类型 | 模态 | 数量 | 标签格式 | 文件格式 |
|---|---|---|---|---|---|---|
| MSD肺脏分割 | 肺脏 | 分割 | CT | 96 | 0/1 | nii |
LoLa11肺页分割
| 名称 | 标注内容 | 类型 | 模态 | 数量 | 标签格式 | 文件格式 |
|---|---|---|---|---|---|---|
| LoLa11 | 左右肺/肺页 | 分割 | CT | 0/1标签 | Metaimage |
55组扫描的肺页分割,包含左右肺,左上,左下,右上,右中,右下肺页的标注。
StructSeg2019
| 名称 | 标注内容 | 类型 | 模态 | 数量 | 标签格式 | 文件格式 |
|---|---|---|---|---|---|---|
| StructSeg2019 |
肺部多病智能诊断
| 名称 | 标注内容 | 类型 | 模态 | 数量 | 标签格式 | 文件格式 |
|---|---|---|---|---|---|---|
| 肺部多病智能诊断 | CT |
CheXpert
| 名称 | 标注内容 | 类型 | 模态 | 数量 | 标签格式 | 文件格式 |
|---|---|---|---|---|---|---|
| CheXpert |
介绍论文: CheXpert: A Large Chest Radiograph Dataset with Uncertainty Labels and Expert Comparison
NIHChest Xray
| 名称 | 标注内容 | 类型 | 模态 | 数量 | 标签格式 | 文件格式 | License |
|---|---|---|---|---|---|---|---|
| NIHChest Xray | CC0: Public Domain |
QIN Lung CT
| 名称 | 标注内容 | 类型 | 模态 | 数量 | 标签格式 | 文件格式 |
|---|---|---|---|---|---|---|
| QIN Lung CT | CT |
4D-Lung
| 名称 | 标注内容 | 类型 | 模态 | 数量 | 标签格式 | 文件格式 |
|---|---|---|---|---|---|---|
| 4D-Lung |
NSCLC-Radiomics
| 名称 | 标注内容 | 类型 | 模态 | 数量 | 标签格式 | 文件格式 |
|---|---|---|---|---|---|---|
| NSCLC-Radiomics | 非小细胞癌 | 分割 | CT | 422 | dcm |
肺结核
Shenzhen Hospital X-ray Set
| 名称 | 标注内容 | 类型 | 模态 | 数量 | 标签格式 | 文件格式 |
|---|---|---|---|---|---|---|
| Shenzhen Hospital X-ray Set | 肺结核/正常 | 分类 | CXR | 662 | 类别 | 图片 |
深圳第三医院收集的肺结核胸透数据集,包含326张正常扫描和336张不正常的扫描。
Montgomery County X-ray Set
| 名称 | 标注内容 | 类型 | 模态 | 数量 | 标签格式 | 文件格式 |
|---|---|---|---|---|---|---|
| Montgomery County X-ray Set | 肺结核/正常 | 分类 | CXR | 138 | 类别 | 图片 |
蒙哥马利市收集的肺结核胸透数据集,包含80张正常的扫描和58张不正常的扫描。
肺炎
Ieee8023
| 名称 | 标注内容 | 类型 | 模态 | 数量 | 标签格式 | 文件格式 |
|---|---|---|---|---|---|---|
| Ieee8023 | 肺脏 | 分类 | CT | 20 | nii |
持续搜集公开的新冠CT扫描,目前有20个病例。
covid19-ct-scans
| 名称 | 标注内容 | 类型 | 模态 | 数量 | 标签格式 | 文件格式 |
|---|---|---|---|---|---|---|
| covid19-ct-scans | 左右肺/新冠感染 | 分割 | CT | 20 | nii |
数据来自Ieee8023,对20组扫描进行了左右肺和感染区的标注。基于这个数据集和另外几个数据集,大佬们做了一个新冠分割的 benchmark
COVID-CT
| 名称 | 标注内容 | 类型 | 模态 | 数量 | 标签格式 | 文件格式 |
|---|---|---|---|---|---|---|
| COVID-CT | 分类 | CT | 349 | 图片 |
包含216名新冠患者的349张胸部CT图片,从相关paper中收集。
Figure1-COVID-chestxray-dataset
| 名称 | 标注内容 | 类型 | 模态 | 数量 | 标签格式 | 文件格式 |
|---|---|---|---|---|---|---|
| Figure1-COVID-chestxray-dataset | 分类 | CXR | 48 | 图片 |
DarwinAI收集的一些新冠CT的图片,是CovidX数据集的一部分。持续更新,使用前可以先pull。
RSNA肺炎检测
| 名称 | 标注内容 | 类型 | 模态 | 数量 | 标签格式 | 文件格式 |
|---|---|---|---|---|---|---|
| RSNA肺炎检测 | 之否肺炎/肺炎区域BB | 分类/检测 | CXR | 26684+3000 | 图片 |
RSNA是北美放射学会在Kaggle上组织的一个比赛数据集,数据来自NIH。包含26684张训练数据,有图片的分类和肺炎区域的边界框。
CovidX
| 名称 | 标注内容 | 类型 | 模态 | 数量 | 标签格式 | 文件格式 |
|---|---|---|---|---|---|---|
| CovidX | 新冠/其他肺炎/正常 | 分类 | CT | 13569+231 | 图片 |
CovidX数据集是DarwinAI训练CovidNet做的一个数据集,本身没有新的数据,是Ieee8023,Figure1和RSNA组合成的一个数据集。
Flyai Covid
| 名称 | 标注内容 | 类型 | 模态 | 数量 | 标签格式 | 文件格式 |
|---|---|---|---|---|---|---|
| Flyai Covid |
Flyai举办的一个新冠分类比赛。
covid19-radiography-database
| 名称 | 标注内容 | 类型 | 模态 | 数量 | 标签格式 | 文件格式 |
|---|---|---|---|---|---|---|
| covid19-radiography-database | 新冠/其他肺炎/正常 | 分类 | CT | 219+1314+1345 | 图片 |
跟CovidX一样是一个组合数据集,数据来自论文图片和RSNA。
COVID-19-AR
| 名称 | 标注内容 | 类型 | 模态 | 数量 | 标签格式 | 文件格式 |
|---|---|---|---|---|---|---|
| COVID-19-AR | dcm |
Chest Imaging with Clinical and Genomic Correlates Representing a Rural COVID-19 Positive Population (COVID-19-AR)
CT Images in COVID-19
| 名称 | 标注内容 | 类型 | 模态 | 数量 | 标签格式 | 文件格式 |
|---|---|---|---|---|---|---|
| CT Images in COVID-19 | 无标签 | 分类/分割 | CT | 650 | 无 | nii |
肺结节
LIDC-IDRI
| 名称 | 标注内容 | 类型 | 模态 | 数量 | 标签格式 | 文件格式 |
|---|---|---|---|---|---|---|
| LIDC-IDRI | 肺部肿瘤 | 目标检测 | CT | 1012 | xls | dcm |
The public cancer radiology imaging collections of The Cancer Imaging Archive
LUNA16
| 名称 | 标注内容 | 类型 | 模态 | 数量 | 标签格式 | 文件格式 |
|---|---|---|---|---|---|---|
| LUNA16 |
天池肺部结节
| 名称 | 标注内容 | 类型 | 模态 | 数量 | 标签格式 | 文件格式 |
|---|---|---|---|---|---|---|
| 天池肺部结节 |
LNDB
| 名称 | 标注内容 | 类型 | 模态 | 数量 | 标签格式 | 文件格式 |
|---|---|---|---|---|---|---|
| LNDB | 直径大于3mm的肿瘤分割标注/小于3mm肿瘤和非肿瘤标记中心 | 分割/分类 | CT | 294 | XML | MetaImage |
介绍论文: LNDb: A Lung Nodule Database on Computed Tomography
Lung Nodule Malignancy
| 名称 | 标注内容 | 类型 | 模态 | 数量 | 标签格式 | 文件格式 |
|---|---|---|---|---|---|---|
| Lung Nodule Malignancy | 肺结界良恶性 | 分类 | CT | 4165+2526 | tif |
Data Science Bowl 17
| 名称 | 标注内容 | 类型 | 模态 | 数量 | 标签格式 | 文件格式 |
|---|---|---|---|---|---|---|
| Data Science Bowl 17 |
Lung-PET-CT-Dx
| 名称 | 标注内容 | 类型 | 模态 | 数量 | 标签格式 | 文件格式 |
|---|---|---|---|---|---|---|
| Lung-PET-CT-Dx | 肺癌 | 目标检测 | CT | 363 | xml | dcm |
气胸
SIIM-ACR Pneumothorax Segmentation
| 名称 | 标注内容 | 类型 | 模态 | 数量 | 标签格式 | 文件格式 |
|---|---|---|---|---|---|---|
| SIIM-ACR Pneumothorax Segmentation |
乳腺癌
CBIS-DDSM
| 名称 | 标注内容 | 类型 | 模态 | 数量 | 标签格式 | 文件格式 |
|---|---|---|---|---|---|---|
| CBIS-DDSM | 正常/良性/恶性 | 分类 | CT | 2620 |
介绍论文: Deep Learning to Improve Breast Cancer Early Detection on Screening Mammography A curated mammography data set for use in computer-aided detection and diagnosis research
QIN Breast
| 名称 | 标注内容 | 类型 | 模态 | 数量 | 标签格式 | 文件格式 |
|---|---|---|---|---|---|---|
| QIN Breast 0102 | MRI | 67 |
Rider Breast MRI
| 名称 | 标注内容 | 类型 | 模态 | 数量 | 标签格式 | 文件格式 |
|---|---|---|---|---|---|---|
| Rider Breast MRI | MRI |
ACRIN 6688
| 名称 | 标注内容 | 类型 | 模态 | 数量 | 标签格式 | 文件格式 |
|---|---|---|---|---|---|---|
| ACRIN 6688 | CT | 83 |
BraTS2015
| 名称 | 标注内容 | 类型 | 模态 | 数量 | 标签格式 | 文件格式 |
|---|---|---|---|---|---|---|
| BraTS2015 |
脑
MSD脑瘤分割
| 名称 | 标注内容 | 类型 | 模态 | 数量 | 标签格式 | 文件格式 |
|---|---|---|---|---|---|---|
| MSD Brain Tumor Segmentation | 胶质瘤/肿瘤/水肿 | 分割 | MRI | 484 Train + 266 Test | 0/1 | nii |
MSD海马体分割
| 名称 | 标注内容 | 类型 | 模态 | 数量 | 标签格式 | 文件格式 |
|---|---|---|---|---|---|---|
| MSD Hippocampus Segmentation | 海马体 | 分割 | MRI | 394 | 0/1 | nii |
Iseg2019
| 名称 | 标注内容 | 类型 | 模态 | 数量 | 标签格式 | 文件格式 |
|---|---|---|---|---|---|---|
| Iseg2019 |
ABIDE
| 名称 | 标注内容 | 类型 | 模态 | 数量 | 标签格式 | 文件格式 |
|---|---|---|---|---|---|---|
| ABIDE | 是否有自闭症 | 分类 | MRI | 539+573 |
自闭症患者的头部MRI扫描,包含539例自闭症患者和573个正常扫描对照组。 介绍论文: The autism brain imaging data exchange: towards a large-scale evaluation of the intrinsic brain architecture in autism.
ADNI
| 名称 | 标注内容 | 类型 | 模态 | 数量 | 标签格式 | 文件格式 |
|---|---|---|---|---|---|---|
| ADNI |
介绍论文: Alzheimer's Disease Neuroimaging Initiative (ADNI)
脑出血
RSNA Intracranial Hemorrhage Detection
| 名称 | 标注内容 | 类型 | 模态 | 数量 | 标签格式 | 文件格式 |
|---|---|---|---|---|---|---|
| RSNA Intracranial Hemorrhage Detection | CT |
肾脏
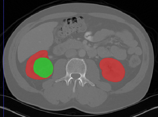
Kits19
| 名称 | 标注内容 | 类型 | 模态 | 数量 | 标签格式 | 文件格式 |
|---|---|---|---|---|---|---|
| Kits19 | 肾肿瘤 | 分割 |
肠
CT COLONOGRAPHY
| 名称 | 标注内容 | 类型 | 模态 | 数量 | 标签格式 | 文件格式 |
|---|---|---|---|---|---|---|
| CT COLONOGRAPHY | CT |
包含没有结肠息肉,有6-9mm息肉和大于10mm息肉的数据。
MSD肠道分割数据集
| 名称 | 标注内容 | 类型 | 模态 | 数量 | 标签格式 | 文件格式 |
|---|---|---|---|---|---|---|
| MSD肠道分割数据集 |
心脏
EchoNet
| 名称 | 标注内容 | 类型 | 模态 | 数量 | 标签格式 | 文件格式 |
|---|---|---|---|---|---|---|
| EchoNet | 心脏 | 分割 | MRI | 10300 | 0/1 |
介绍论文: EchoNet-Dynamic: a Large New Cardiac Motion Video Data Resource for Medical Machine Learning
MMWHS
| 名称 | 标注内容 | 类型 | 模态 | 数量 | 标签格式 | 文件格式 |
|---|---|---|---|---|---|---|
| MMWHS | 心脏 | 分割 | CT / MRI | 20CT、20MRI | 类别 | nii |
mmwhs是心脏分割数据集,共有8类,MRI和CT两种模态 相关项目: Hybrid Loss Guided Convolutional Networks for Whole Heart Parsing
MSD心脏分割
| 名称 | 标注内容 | 类型 | 模态 | 数量 | 标签格式 | 文件格式 |
|---|---|---|---|---|---|---|
| MSD心脏分割 |
眼睛
DRIVE
| 名称 | 标注内容 | 类型 | 模态 | 数量 | 标签格式 | 文件格式 |
|---|---|---|---|---|---|---|
| DRIVE | 眼底血管 | 分割 | 眼底照片 | 40 | 0/1 | 图片 |
DRIVE数据集是一个糖尿病病人眼底血管分割数据集。
ODIR-5k
| 名称 | 标注内容 | 类型 | 模态 | 数量 | 标签格式 | 文件格式 |
|---|---|---|---|---|---|---|
| ODIR-5k | 正常和7种疾病 | 分类 | 眼底彩色照片 | 5000 | 图片 |
ODIR-5K包括5000名患者的年龄,双眼的彩色眼底照片和医生的诊断关键词。该数据集是上工医疗技术有限公司从中国不同医院/医疗中心收集的“真实”患者信息。在这些机构中,眼底图像由市场上的各种相机捕获,例如Canon,Zeiss和Kowa,因此导致各种各样的图像分辨率。病人的识别信息会被移除。注释由经过培训的人类读者进行标记,并具有质量控制管理。患者分为8个标签,包括正常(N),糖尿病(D),青光眼(G),白内障(C),AMD(A),高血压(H),近视(M)和其他疾病/异常(O)。
FIRE 视网膜图像数据
| 名称 | 标注内容 | 类型 | 模态 | 数量 | 标签格式 | 文件格式 |
|---|---|---|---|---|---|---|
| FIRE 视网膜图像数据 | 分类 | 视网膜图像 | 129 |
FIRE 是一个视网膜眼底图像数据集,包含 129张 眼底视网膜图像,由不同特征组合成 134对 图像组合。这些图像组合根据特质被划分为3类。眼底图像由 Nidek AFC-210 眼底照相机采集,分辨率为2912x2912,视觉仰角为40度。图像由 Papageorgiou Hospital 医院和Aristotle University of Thessaloniki大学共同构建,由于Thessaloniki 大学采集自39名患者。. 数据包括以下几部分内容: 1.成对的视网膜图像。 2.彩色ROI掩模(作为二值图像)。 3.特征ROI掩模(作为二值图像)。 4.每个图像对应的标注点。
STARE
| 名称 | 标注内容 | 类型 | 模态 | 数量 | 标签格式 | 文件格式 | License |
|---|---|---|---|---|---|---|---|
| STARE | 眼底血管 | 分割 | 眼底照片 | 400 | 无 |
STructured Analysis of the Retina数据集包含400张眼底照片,作者团队对这些数据进行了多种诊断,并对部分数据的血管进行了标注
细胞
Data Science Bowl 18
| 名称 | 标注内容 | 类型 | 模态 | 数量 | 标签格式 | 文件格式 |
|---|---|---|---|---|---|---|
| Data Science Bowl 18 | 细胞核 | 分割 | 841张/37333个细胞核 | 0/1 | 图片 |
细胞核分割数据集
介绍论文: Nucleus segmentation across imaging experiments: the 2018 Data Science Bowl
血细胞涂片分类
| 名称 | 标注内容 | 类型 | 模态 | 数量 | 标签格式 | 文件格式 |
|---|---|---|---|---|---|---|
| 血细胞涂片分类 | 四种血细胞类型 | 分类 | 镜检 | 12500 | - | 图片 |
血细胞分类数据集包含12500张四种血细胞的照片。图片是从大的血细胞涂片照片上截下来的,数据集经过增广。图片都很小,训练时注意IO瓶颈。
ISBI细胞跟踪
| 名称 | 标注内容 | 类型 | 模态 | 数量 | 标签格式 | 文件格式 |
|---|---|---|---|---|---|---|
| ISBI细胞跟踪 | 细胞像素级别位置 | 跟踪 | 镜检 | 图片 |
在镜检视频中像素级跟踪细胞位置
Aistudio下载 2D+Time Datasets
骨骼
MURA-1.1
| 名称 | 标注内容 | 类型 | 模态 | 数量 | 标签格式 | 文件格式 |
|---|---|---|---|---|---|---|
| MURA-1.1 | 正常/非正常 | 分类 | x-ray | 40561 |
介绍论文: MURA: Large Dataset for Abnormality Detection in Musculoskeletal Radiographs
RSNA Bone Age
| 名称 | 标注内容 | 类型 | 模态 | 数量 | 标签格式 | 文件格式 |
|---|---|---|---|---|---|---|
| RSNA Bone Age |
膝盖
MRNet
| 名称 | 标注内容 | 类型 | 模态 | 数量 | 标签格式 | 文件格式 |
|---|---|---|---|---|---|---|
| MRNet |
前列腺
PANDA
| 名称 | 标注内容 | 类型 | 模态 | 数量 | 标签格式 | 文件格式 |
|---|---|---|---|---|---|---|
| PANDA | 前列腺癌分级 | 镜检图片 | 10616张镜检 | 分类 | tiff |
MSD前列腺分割
| 名称 | 标注内容 | 类型 | 模态 | 数量 | 标签格式 | 文件格式 |
|---|---|---|---|---|---|---|
| MSD前列腺分割 |
QIN-PROSTATE-Repeatability
| 名称 | 标注内容 | 类型 | 模态 | 数量 | 标签格式 | 文件格式 |
|---|---|---|---|---|---|---|
| QIN-PROSTATE-Repeatability | 前列腺癌 | MRI | 15 | dcm |
胰腺
MSD胰腺分割
| 名称 | 标注内容 | 类型 | 模态 | 数量 | 标签格式 | 文件格式 |
|---|---|---|---|---|---|---|
| MSD胰腺分割 |
PDMR-833975-119-R
| 名称 | 标注内容 | 类型 | 模态 | 数量 | 标签格式 | 文件格式 |
|---|---|---|---|---|---|---|
| PDMR-833975-119-R | 胰腺癌 | MRI | 20 | dcm |
皮肤
SIIM-ISIC Melanoma Classification
| 名称 | 标注内容 | 类型 | 模态 | 数量 | 标签格式 | 文件格式 |
|---|---|---|---|---|---|---|
| SIIM-ISIC Melanoma Classification | 皮肤癌病变类别 | 分类 | 皮肤镜 | 88.3K张图片 | 类别 | dicom |
目前最大的皮肤镜图像集合,用来在皮肤病变图像中之别黑色素瘤,图片以DICOM格式提供,同时包含图像元数据,有的图像也以JPEG和TFRecord格式提供,TFRecords格式的图像已被调整为统一的1024x1024
VQA
PathVQA
| 名称 | 标注内容 | 类型 | 模态 | 数量 | 标签格式 | 文件格式 |
|---|---|---|---|---|---|---|
| PathVQA | 图片 | 4998图片/32799问答 | 图片 |
介绍论文: PathVQA: 30000+ Questions for Medical Visual Question Answering
医学影像数据库
TCIA:The Cancer Imaging Archive
MedPix 包含超过12000名患者和59000张影像
Belarus tuberculosis portal 包含结核病人的CT,胸透和检验数据
LONI 神经相关医学影像
参考项目/列表
Open-Access Medical Image Repositories
Medical Image Datasets Download Links
Dermatology Image Classification
贡献者
(按照首次贡献时间排序)
多语言代码生成器 Mail : linhandev@qq.com
Release Note
2020/11/20
添加Issue模板,鼓励外部贡献,数据集数量达到67
2020/11/8
在Github发布,整理格式,添加多个数据集
2020/6/11
添加LIDC-IDIR,编写数据压缩脚本
2020/6/4
添加MMWHS心脏分割数据集,SIIM皮肤病分类比赛数据集
2020/5/27
添加ISBI细胞分割,TCGA-LIHC肝脏,4D-Lung肺部数据集,围绕乳腺癌添加一系列数据集
2020/5/20
项目添加数据集计数和release note,数据集方面添加 RSNA骨龄,PathVQA,FIRE视网膜,DDSM乳腺癌等数据集
2020/5/13
项目在Aistudio公开,包含约40个数据集















