[![CC BY-NC-SA 4.0][cc-by-nc-sa-shield]][cc-by-nc-sa]
# 医学影像数据集集锦
# 前言
本项目的目标是整理一个医学影像方向数据集的列表,提供每个数据集的基本信息,并对其中License允许的提供**不限速下载**。项目按照数据集关注的器官对其进行分类。需要整理的数据集很多,我们十分期待大佬们为项目**作出贡献**。
- 如果您发现项目已有的内容中有任何错误(包括但不限于md格式问题,网址失效,数据错误,简介信息补充等),可以通过Pull/Request进行修正。
- 如果您想用的数据集没有出现在列表中,请按照模板[提交Issue](https://github.com/linhandev/dataset/issues/new?assignees=linhandev&labels=%E6%96%B0%E5%A2%9E%E6%95%B0%E6%8D%AE%E9%9B%86&template=-----.md&title=%5B%E6%96%B0%E5%A2%9E%5D+%E6%B7%BB%E5%8A%A0%E6%96%B0%E6%95%B0%E6%8D%AE%E9%9B%86%E3%80%80xx),并尽量详细地描述数据集信息。我们会尽快添加,若License允许可以**免费代下**。
当前共收录约 20 个方向的 70+ 个数据集
本项目采用
[Creative Commons Attribution-NonCommercial-ShareAlike 4.0 International License][cc-by-nc-sa] 协议
[![CC BY-NC-SA 4.0][cc-by-nc-sa-image]][cc-by-nc-sa]
[cc-by-nc-sa]: http://creativecommons.org/licenses/by-nc-sa/4.0/
[cc-by-nc-sa-image]: https://licensebuttons.net/l/by-nc-sa/4.0/88x31.png
[cc-by-nc-sa-shield]: https://img.shields.io/badge/License-CC%20BY--NC--SA%204.0-lightgrey.svg
# 目录
=================
* [前言](#前言)
* [目录](#目录)
* [肝脏](#肝脏)
* [LiTS](#lits)
* [Sliver07](#sliver07)
* [3D-IRCADB](#3d-ircadb)
* [CHAOS](#chaos)
* [TCGA-LIHC](#tcga-lihc)
* [MSD肝脏血管分割](#msd肝脏血管分割)
* [肺](#肺)
* [MSD肺脏分割](#msd肺脏分割)
* [LoLa11肺页分割](#lola11肺页分割)
* [StructSeg2019](#structseg2019)
* [肺部多病智能诊断](#肺部多病智能诊断)
* [CheXpert](#chexpert)
* [NIHChest Xray](#nihchest-xray)
* [QIN Lung CT](#qin-lung-ct)
* [4D-Lung](#4d-lung)
* [NSCLC-Radiomics](#nsclc-radiomics)
* [肺结核](#肺结核)
* [Shenzhen Hospital X-ray Set](#shenzhen-hospital-x-ray-set)
* [Montgomery County X-ray Set](#montgomery-county-x-ray-set)
* [肺炎](#肺炎)
* [Ieee8023](#ieee8023)
* [covid19-ct-scans](#covid19-ct-scans)
* [COVID-CT](#covid-ct)
* [Figure1-COVID-chestxray-dataset](#figure1-covid-chestxray-dataset)
* [RSNA肺炎检测](#rsna肺炎检测)
* [CovidX](#covidx)
* [Flyai Covid](#flyai-covid)
* [covid19-radiography-database](#covid19-radiography-database)
* [COVID-19-AR](#covid-19-ar)
* [CT Images in COVID-19](#ct-images-in-covid-19)
* [肺结节](#肺结节)
* [LIDC-IDRI](#lidc-idri)
* [LUNA16](#luna16)
* [天池肺部结节](#天池肺部结节)
* [LNDB](#lndb)
* [Lung Nodule Malignancy](#lung-nodule-malignancy)
* [Data Science Bowl 17](#data-science-bowl-17)
* [Lung-PET-CT-Dx](#lung-pet-ct-dx)
* [气胸](#气胸)
* [SIIM-ACR Pneumothorax Segmentation](#siim-acr-pneumothorax-segmentation)
* [胸](#胸)
* [CBIS-DDSM](#cbis-ddsm)
* [QIN Breast](#qin-breast)
* [Rider Breast MRI](#rider-breast-mri)
* [ACRIN 6688](#acrin-6688)
* [BraTS2015](#brats2015)
* [脑](#脑)
* [MSD脑瘤分割](#msd脑瘤分割)
* [MSD海马体分割](#msd海马体分割)
* [Iseg2019](#iseg2019)
* [ABIDE](#abide)
* [ADNI](#adni)
* [脑出血](#脑出血)
* [RSNA Intracranial Hemorrhage Detection](#rsna-intracranial-hemorrhage-detection)
* [肾脏](#肾脏)
* [Kits19](#kits19)
* [肠](#肠)
* [CT COLONOGRAPHY](#ct-colonography)
* [MSD肠道分割数据集](#msd肠道分割数据集)
* [心脏](#心脏)
* [EchoNet](#echonet)
* [MMWHS](#mmwhs)
* [MSD心脏分割](#msd心脏分割)
* [主动脉](#主动脉)
* [冠状动脉分割](#冠状动脉分割)
* [眼睛](#眼睛)
* [DRIVE](#drive)
* [ODIR-5k](#odir-5k)
* [FIRE 视网膜图像数据](#fire-视网膜图像数据)
* [STARE](#stare)
* [CHASE_DB1](#chase_db1)
* [细胞](#细胞)
* [Data Science Bowl 18](#data-science-bowl-18)
* [血细胞涂片分类](#血细胞涂片分类)
* [ISBI细胞跟踪](#isbi细胞跟踪)
* [骨骼](#骨骼)
* [MURA-1.1](#mura-11)
* [RSNA Bone Age](#rsna-bone-age)
* [膝盖](#膝盖)
* [MRNet](#mrnet)
* [脊椎](#脊椎)
* [Verse大规模脊椎分割数据集](#verse大规模脊椎分割数据集)
* [前列腺](#前列腺)
* [PANDA](#panda)
* [MSD前列腺分割](#msd前列腺分割)
* [QIN-PROSTATE-Repeatability](#qin-prostate-repeatability)
* [胰腺](#胰腺)
* [MSD胰腺分割](#msd胰腺分割)
* [PDMR-833975-119-R](#pdmr-833975-119-r)
* [皮肤](#皮肤)
* [SIIM-ISIC Melanoma Classification](#siim-isic-melanoma-classification)
* [VQA](#vqa)
* [PathVQA](#pathvqa)
* [内窥镜](#内窥镜)
* [SARAS-MESAD](#saras-mesad)
* [SARAS-MESAD](#saras-mesad-1)
* [医学影像数据库](#医学影像数据库)
* [参考项目/列表](#参考项目列表)
* [贡献者](#贡献者)
* [Release Note](#release-note)
# 肝脏
## LiTS
[//]: # (FIN)
| 名称 | 标注内容 | 类型 | 模态 | 数量 | 标签格式 | 文件格式 | License |
| - | - | - | - | - | - | - | - |
| [LiTS](https://competitions.codalab.org/competitions/17094) | 肝脏/肝脏肿瘤 | 分割 | CT | 131+70 | 0/1标签 | nii | [CC 4.0](https://competitions.codalab.org/competitions/17094#learn_the_details-terms_and_conditions) |
LiTS数据集包含131套训练扫描和70组测试数据,其中70组测试数据标签不公开。LiTS训练集中包含3DIRCADB中的所有数据,所以如果合并多个数据集不要合并这两个。Medical Segmentation Decathlon中肝脏分割的数据集就是LiTS。
分割结果可以在线提交进行评估,[在线提交方法参考](https://github.com/PatrickChrist/LITS-CHALLENGE)。 [在线提交地址](https://competitions.codalab.org/competitions/17094)
数据集论文:[The Liver Tumor Segmentation Benchmark (LiTS)](https://arxiv.org/abs/1901.04056)
相关项目: [基于Paddle的肝脏CT影像分割](https://aistudio.baidu.com/aistudio/projectdetail/250994)
[Aistudio下载](https://aistudio.baidu.com/aistudio/datasetdetail/10273)
## Sliver07
[//]: # (FIN)
| 名称 | 标注内容 | 类型 | 模态 | 数量 | 标签格式 | 文件格式 | License |
| - | - | - | - | - | - | - | - |
| [Sliver07](https://sliver07.grand-challenge.org/) | 肝脏 | 分割 | CT | 20+10 | 0/1标签 | MetaImage | [Other](https://zenodo.org/record/2597908) |
这个数据集比较老了,现在用的也比较少,一些研究会将sliver和lits合起来,这样基本上就是所有常用的关于肝脏分割的公开数据了。mhd格式可以用 SimpleITK 读,在medseg项目中有[转换成nii的脚本](https://github.com/linhandev/medSeg/blob/main/tool/train/mhd2nii.py)
[Aistudio下载](https://aistudio.baidu.com/aistudio/datasetdetail/19906)
## 3D-IRCADB
[//]: # (FIN)
| 名称 | 标注内容 | 类型 | 模态 | 数量 | 标签格式 | 文件格式 | License |
| - | - | - | - | - | - | - | - |
| 3D-IRCADb [01](https://www.ircad.fr/research/3d-ircadb-01/) [02](https://www.ircad.fr/research/3d-ircadb-01/) | 肝脏/肝肿瘤 | 分割 | CT | 20+2 | surface mesh | dcm | CC |
3D-IRCADb是比较早的一个数据集,有两个子集,分别包含20组和2组CT片子。
[Aistudio下载](https://aistudio.baidu.com/aistudio/datasetdetail/10293)
## CHAOS
[//]: # (FIN)
| 名称 | 标注内容 | 类型 | 模态 | 数量 | 标签格式 | 文件格式 | License |
| - | - | - | - | - | - | - | - |
| [CHAOS](https://chaos.grand-challenge.org/) | 肝/肾/脾 | 分割 | CT+MRI | 40CT+120MRI | 0/1标签 | dcm | [CC 4.0](https://creativecommons.org/licenses/by-nc-sa/4.0/legalcode) |
CHAOS是一个多脏器,多模态分割数据集。

[Aistudio下载](https://aistudio.baidu.com/aistudio/datasetdetail/23864)
## TCGA-LIHC
[//]: # (FIN)
| 名称 | 标注内容 | 类型 | 模态 | 数量 | 标签格式 | 文件格式 | License |
| - | - | - | - | - | - | - | - |
| [TCGA-LIHC](https://wiki.cancerimagingarchive.net/display/Public/TCGA-LIHC) | 肝 | | CT/MR/PT | 97患者/237套 | 无标签 | dcm | [Other](https://wiki.cancerimagingarchive.net/display/Public/Data+Usage+Policies+and+Restrictions) |

[Aistudio下载](https://aistudio.baidu.com/aistudio/datasetdetail/37439)
## MSD肝脏血管分割
| 名称 | 标注内容 | 类型 | 模态 | 数量 | 标签格式 | 文件格式 | License |
| - | - | - | - | - | - | - | - |
| [MSD肝脏血管分割](http://medicaldecathlon.com/) | 肝脏血管 | 分割 | CT | 443 | 0/1 | nii | [CC-BY-SA 4.0](https://creativecommons.org/licenses/by-sa/4.0/) |

[Aistudio下载](https://aistudio.baidu.com/aistudio/datasetdetail/10333)
# 肺
## MSD肺脏分割
| 名称 | 标注内容 | 类型 | 模态 | 数量 | 标签格式 | 文件格式 | License |
| - | - | - | - | - | - | - | - |
| [MSD肺脏分割](http://medicaldecathlon.com/) | 肺脏 | 分割 | CT | 96 | 0/1 | nii | [CC-BY-SA 4.0](https://creativecommons.org/licenses/by-sa/4.0/) |

[Aistudio下载](https://aistudio.baidu.com/aistudio/datasetdetail/10334)
## LoLa11肺页分割
[//]: # (FIN)
| 名称 | 标注内容 | 类型 | 模态 | 数量 | 标签格式 | 文件格式 | License |
| - | - | - | - | - | - | - | - |
| [LoLa11](https://lola11.grand-challenge.org/) | 左右肺/肺页 | 分割 | CT | 55 | 0/1标签 | Metaimage | [Other](https://zenodo.org/record/4708800) |

55组扫描的肺页分割,包含左右肺,左上,左下,右上,右中,右下肺页的标注。
[zenodo下载](https://zenodo.org/record/4708800)
[//]: # (30417)
## StructSeg2019
| 名称 | 标注内容 | 类型 | 模态 | 数量 | 标签格式 | 文件格式 |
| - | - | - | - | - | - | - |
| [StructSeg2019](https://structseg2019.grand-challenge.org/) || |||||

## 肺部多病智能诊断
| 名称 | 标注内容 | 类型 | 模态 | 数量 | 标签格式 | 文件格式 |
| - | - | - | - | - | - | - |
| [肺部多病智能诊断](https://tianchi.aliyun.com/competition/entrance/231724/) | | | CT | | | |
[//]: # (34323)
## CheXpert
| 名称 | 标注内容 | 类型 | 模态 | 数量 | 标签格式 | 文件格式 | License |
| - | - | - | - | - | - | - | - |
| [CheXpert](https://stanfordmlgroup.github.io/competitions/chexpert/) | | | | | | | [Other](https://stanfordmlgroup.github.io/competitions/chexpert/) |

介绍论文: [CheXpert: A Large Chest Radiograph Dataset with Uncertainty Labels and Expert Comparison](https://arxiv.org/abs/1901.07031)
[相关项目](https://github.com/gaetandi/cheXpert)
## NIHChest Xray
| 名称 | 标注内容 | 类型 | 模态 | 数量 | 标签格式 | 文件格式 | License |
| - | - | - | - | - | - | - | - |
| [NIHChest Xray](https://www.kaggle.com/nih-chest-xrays/data) | 14种肺部疾病/部分病灶位置 | 分类/检测 | CXR | 112,120 | csv | png | [CC0: Public Domain](https://creativecommons.org/publicdomain/zero/1.0/) |

介绍论文: [ChestX-ray8: Hospital-scale Chest X-ray Database and Benchmarks on Weakly-Supervised Classification and Localization of Common Thorax Diseases](http://openaccess.thecvf.com/content_cvpr_2017/papers/Wang_ChestX-ray8_Hospital-Scale_Chest_CVPR_2017_paper.pdf)
[Aistudio下载](https://aistudio.baidu.com/aistudio/datasetdetail/35660)
## QIN Lung CT
| 名称 | 标注内容 | 类型 | 模态 | 数量 | 标签格式 | 文件格式 | License |
| - | - | - | - | - | - | - | - |
| [QIN Lung CT](https://wiki.cancerimagingarchive.net/display/Public/QIN+LUNG+CT) | 非小細胞癌 | | CT | 47 | | dcm | [Other](https://wiki.cancerimagingarchive.net/display/Public/Data+Usage+Policies+and+Restrictions) |
[Aistudio下载](https://aistudio.baidu.com/aistudio/datasetdetail/35205)
## 4D-Lung
| 名称 | 标注内容 | 类型 | 模态 | 数量 | 标签格式 | 文件格式 | License |
| - | - | - | - | - | - | - | - |
| [4D-Lung](https://wiki.cancerimagingarchive.net/display/Public/4D-Lung) | 非小細胞癌 | | CT | | 20 | dcm |[Other](https://wiki.cancerimagingarchive.net/display/Public/Data+Usage+Policies+and+Restrictions)|
[Aistudio下载](https://aistudio.baidu.com/aistudio/datasetdetail/37482)
## NSCLC-Radiomics
| 名称 | 标注内容 | 类型 | 模态 | 数量 | 标签格式 | 文件格式 |
| - | - | - | - | - | - | - |
| [NSCLC-Radiomics](https://wiki.cancerimagingarchive.net/display/Public/NSCLC-Radiomics) | 非小细胞癌 | 分割 | CT | 422 | | dcm |

[Aistudio下载](https://aistudio.baidu.com/aistudio/datasetdetail/63958)
## 肺结核
### Shenzhen Hospital X-ray Set
| 名称 | 标注内容 | 类型 | 模态 | 数量 | 标签格式 | 文件格式 |
| - | - | - | - | - | - | - |
| [Shenzhen Hospital X-ray Set](https://lhncbc.nlm.nih.gov/publication/pub9931) | 肺结核/正常 | 分类 | CXR | 662 | 类别 | 图片 |
深圳第三医院收集的肺结核胸透数据集,包含326张正常扫描和336张不正常的扫描。
[Aistudio下载](https://aistudio.baidu.com/aistudio/datasetdetail/25237)
### Montgomery County X-ray Set
| 名称 | 标注内容 | 类型 | 模态 | 数量 | 标签格式 | 文件格式 |
| - | - | - | - | - | - | - |
| [Montgomery County X-ray Set](https://lhncbc.nlm.nih.gov/publication/pub9931) | 肺结核/正常 | 分类 | CXR | 138 | 类别 | 图片 |
蒙哥马利市收集的肺结核胸透数据集,包含80张正常的扫描和58张不正常的扫描。
[Aistudio下载](https://aistudio.baidu.com/aistudio/datasetdetail/34229)
## 肺炎
### Ieee8023
| 名称 | 标注内容 | 类型 | 模态 | 数量 | 标签格式 | 文件格式 |
| - | - | - | - | - | - | - |
| [Ieee8023](https://github.com/ieee8023/covid-chestxray-dataset) | 肺脏 | 分类 | CT | 20 | | nii |
持续搜集公开的新冠CT扫描,目前有20个病例。
[Aistudio下载](https://aistudio.baidu.com/aistudio/datasetdetail/34221)
### covid19-ct-scans
| 名称 | 标注内容 | 类型 | 模态 | 数量 | 标签格式 | 文件格式 |
| - | - | - | - | - | - | - |
| [covid19-ct-scans](https://www.kaggle.com/andrewmvd/covid19-ct-scans) | 左右肺/新冠感染 | 分割 | CT | 20 | | nii |
数据来自Ieee8023,对20组扫描进行了左右肺和感染区的标注。基于这个数据集和另外几个数据集,大佬们做了一个新冠分割的 [benchmark](https://gitee.com/junma11/COVID-19-CT-Seg-Benchmark)
[Aistudio下载](https://aistudio.baidu.com/aistudio/datasetdetail/34221)
### COVID-CT
| 名称 | 标注内容 | 类型 | 模态 | 数量 | 标签格式 | 文件格式 |
| - | - | - | - | - | - | - |
| [COVID-CT](https://github.com/UCSD-AI4H/COVID-CT) | | 分类 | CT | 349 | | 图片 |
包含216名新冠患者的349张胸部CT图片,从相关paper中收集。
[Aistudio下载](https://aistudio.baidu.com/aistudio/datasetdetail/27732)
### Figure1-COVID-chestxray-dataset
| 名称 | 标注内容 | 类型 | 模态 | 数量 | 标签格式 | 文件格式 |
| - | - | - | - | - | - | - |
| [Figure1-COVID-chestxray-dataset](https://github.com/agchung/Figure1-COVID-chestxray-dataset) | | 分类 | CXR | 48 | | 图片 |
DarwinAI收集的一些新冠CT的图片,是CovidX数据集的一部分。持续更新,使用前可以先pull。
[Aistudio下载](https://aistudio.baidu.com/aistudio/datasetdetail/34208)
### RSNA肺炎检测
| 名称 | 标注内容 | 类型 | 模态 | 数量 | 标签格式 | 文件格式 |
| - | - | - | - | - | - | - |
| [RSNA肺炎检测](https://www.kaggle.com/c/rsna-pneumonia-detection-challenge/) | 之否肺炎/肺炎区域BB | 分类/检测 | CXR | 26684+3000 | | 图片 |
RSNA是北美放射学会在Kaggle上组织的一个比赛数据集,数据来自[NIH](https://nihcc.app.box.com/v/ChestXray-NIHCC)。包含26684张训练数据,有图片的分类和肺炎区域的边界框。
[Aistudio下载](https://aistudio.baidu.com/aistudio/datasetdetail/34214)
### CovidX
| 名称 | 标注内容 | 类型 | 模态 | 数量 | 标签格式 | 文件格式 |
| - | - | - | - | - | - | - |
| [CovidX](https://github.com/lindawangg/COVID-Net/blob/master/docs/COVIDx.md) | 新冠/其他肺炎/正常 | 分类 | CT | 13569+231 | | 图片 |
CovidX数据集是DarwinAI训练[CovidNet](https://github.com/lindawangg/COVID-Net)做的一个数据集,本身没有新的数据,是Ieee8023,Figure1和RSNA组合成的一个数据集。
### Flyai Covid
| 名称 | 标注内容 | 类型 | 模态 | 数量 | 标签格式 | 文件格式 |
| - | - | - | - | - | - | - |
| [Flyai Covid](https://www.flyai.com/d/ChestXray02) | | | | | | |
Flyai举办的一个新冠分类比赛。
[Aistudio下载](https://aistudio.baidu.com/aistudio/datasetdetail/34230)
### covid19-radiography-database
| 名称 | 标注内容 | 类型 | 模态 | 数量 | 标签格式 | 文件格式 |
| - | - | - | - | - | - | - |
| [covid19-radiography-database](https://www.kaggle.com/tawsifurrahman/covid19-radiography-database) | 新冠/其他肺炎/正常 | 分类 | CT | 219+1314+1345 | | 图片 |
跟CovidX一样是一个组合数据集,数据来自论文图片和RSNA。
[Aistudio下载](https://aistudio.baidu.com/aistudio/datasetdetail/34241)
### COVID-19-AR
| 名称 | 标注内容 | 类型 | 模态 | 数量 | 标签格式 | 文件格式 |
| - | - | - | - | - | - | - |
| [COVID-19-AR](https://wiki.cancerimagingarchive.net/pages/viewpage.action?pageId=70226443) | | | | | | dcm|
Chest Imaging with Clinical and Genomic Correlates Representing a Rural COVID-19 Positive Population (COVID-19-AR)
[Aistudio下载](https://aistudio.baidu.com/aistudio/datasetdetail/63553)
### CT Images in COVID-19
| 名称 | 标注内容 | 类型 | 模态 | 数量 | 标签格式 | 文件格式 |
| - | - | - | - | - | - | - |
| [CT Images in COVID-19](https://wiki.cancerimagingarchive.net/display/Public/CT+Images+in+COVID-19) | 无标签 | 分类/分割 | CT | 650 | 无 | nii|
[Aistudio下载](https://aistudio.baidu.com/aistudio/datasetdetail/63794)
## 肺结节
### LIDC-IDRI
| 名称 | 标注内容 | 类型 | 模态 | 数量 | 标签格式 | 文件格式 |
| - | - | - | - | - | - | - |
| [LIDC-IDRI](https://wiki.cancerimagingarchive.net/display/Public/LIDC-IDRI) | 肺部肿瘤 | 目标检测 | CT | 1012 | xls | dcm |
介绍论文: [The Lung Image Database Consortium (LIDC) and Image Database Resource Initiative (IDRI): A Completed Reference Database of Lung Nodules on CT Scans](https://www.ncbi.nlm.nih.gov/pmc/articles/PMC3041807/)
[The public cancer radiology imaging collections of The Cancer Imaging Archive](https://www.ncbi.nlm.nih.gov/pmc/articles/PMC3041807/)
Aistudio下载 [Part1](https://aistudio.baidu.com/aistudio/datasetdetail/63957) [Part2](https://aistudio.baidu.com/aistudio/datasetdetail/64008)
### LUNA16
| 名称 | 标注内容 | 类型 | 模态 | 数量 | 标签格式 | 文件格式 |
| - | - | - | - | - | - | - |
| [LUNA16](https://luna16.grand-challenge.org) | | | | | | |
[Aistudio下载](https://aistudio.baidu.com/aistudio/datasetdetail/1860)
### 天池肺部结节
| 名称 | 标注内容 | 类型 | 模态 | 数量 | 标签格式 | 文件格式 | License |
| - | - | - | - | - | - | - | - |
| [天池肺部结节](https://tianchi.aliyun.com/competition/entrance/231601/introduction) | 肺部结节| 检测 | 低剂量肺部CT | 1000(初赛) + 2000(复赛) | 位置+直径 | mhd | [Custom](https://tianchi.aliyun.com/competition/entrance/231601/introduction) |
[//]: # (训练:https://aistudio.baidu.com/aistudio/datasetDetail/20000 测试 : https://aistudio.baidu.com/aistudio/datasetdetail/10063)
### LNDB
| 名称 | 标注内容 | 类型 | 模态 | 数量 | 标签格式 | 文件格式 |
| - | - | - | - | - | - | - |
| [LNDB](https://lndb.grand-challenge.org) | 直径大于3mm的肿瘤分割标注/小于3mm肿瘤和非肿瘤标记中心 | 分割/分类 | CT | 294 | XML | MetaImage |
介绍论文: [LNDb: A Lung Nodule Database on Computed Tomography](https://arxiv.org/abs/1911.08434)
[Aistudio下载](https://aistudio.baidu.com/aistudio/datasetdetail/23909)
### Lung Nodule Malignancy
| 名称 | 标注内容 | 类型 | 模态 | 数量 | 标签格式 | 文件格式 |
| - | - | - | - | - | - | - |
| [Lung Nodule Malignancy](https://www.kaggle.com/kmader/lungnodemalignancy) | 肺结界良恶性 | 分类 | CT | 4165+2526 | | tif |
[Aistudio下载](https://aistudio.baidu.com/aistudio/datasetdetail/28474)
### Data Science Bowl 17
| 名称 | 标注内容 | 类型 | 模态 | 数量 | 标签格式 | 文件格式 |
| - | - | - | - | - | - | - |
| [Data Science Bowl 17](https://www.kaggle.com/c/data-science-bowl-2017) | | | | | | |
[Aistudio下载](https://aistudio.baidu.com/aistudio/datasetdetail/25423)
### Lung-PET-CT-Dx
| 名称 | 标注内容 | 类型 | 模态 | 数量 | 标签格式 | 文件格式 |
| - | - | - | - | - | - | - |
| [Lung-PET-CT-Dx](https://wiki.cancerimagingarchive.net/pages/viewpage.action?pageId=70224216) | 肺癌 | 目标检测 | CT | 363 | xml | dcm |

## 气胸
### SIIM-ACR Pneumothorax Segmentation
| 名称 | 标注内容 | 类型 | 模态 | 数量 | 标签格式 | 文件格式 |
| - | - | - | - | - | - | - |
| [SIIM-ACR Pneumothorax Segmentation](https://www.kaggle.com/c/siim-acr-pneumothorax-segmentation) | | | | | | |
# 胸
## CBIS-DDSM
| 名称 | 标注内容 | 类型 | 模态 | 数量 | 标签格式 | 文件格式 |
| - | - | - | - | - | - | - |
| [CBIS-DDSM](https://wiki.cancerimagingarchive.net/display/Public/CBIS-DDSM) | 正常/良性/恶性 | 分类 | CT | 2620 | | |
介绍论文: [Deep Learning to Improve Breast Cancer Early Detection on Screening Mammography](https://arxiv.org/abs/1708.09427) [A curated mammography data set for use in computer-aided detection and diagnosis research](https://www.nature.com/articles/sdata2017177)
[Aistudio下载](https://aistudio.baidu.com/aistudio/datasetdetail/37567)
## QIN Breast
| 名称 | 标注内容 | 类型 | 模态 | 数量 | 标签格式 | 文件格式 |
| - | - | - | - | - | - | - |
| QIN Breast [01](https://wiki.cancerimagingarchive.net/display/Public/QIN-Breast)[02](https://wiki.cancerimagingarchive.net/display/Public/QIN-BREAST-02) | | | MRI | 67 | | |
[Aistudio下载](https://aistudio.baidu.com/aistudio/datasetdetail/37536)
## Rider Breast MRI
| 名称 | 标注内容 | 类型 | 模态 | 数量 | 标签格式 | 文件格式 |
| - | - | - | - | - | - | - |
| [Rider Breast MRI](https://wiki.cancerimagingarchive.net/display/Public/RIDER+Breast+MRI) | | | MRI | | | |
## ACRIN 6688
| 名称 | 标注内容 | 类型 | 模态 | 数量 | 标签格式 | 文件格式 |
| - | - | - | - | - | - | - |
| [ACRIN 6688](https://wiki.cancerimagingarchive.net/pages/viewpage.action?pageId=30671268) | | | CT | 83 | | |
[Aistudio下载](https://aistudio.baidu.com/aistudio/datasetdetail/37565)
## BraTS2015
| 名称 | 标注内容 | 类型 | 模态 | 数量 | 标签格式 | 文件格式 |
| - | - | - | - | - | - | - |
| [BraTS2015](http://www.braintumorsegmentation.org/) | | | | | | |
[Aistudio下载](https://aistudio.baidu.com/aistudio/datasetdetail/26367)
# 脑
## MSD脑瘤分割
| 名称 | 标注内容 | 类型 | 模态 | 数量 | 标签格式 | 文件格式 | License |
| - | - | - | - | - | - | - | - |
| [MSD Brain Tumor Segmentation](http://medicaldecathlon.com/) | 胶质瘤/肿瘤/水肿 | 分割 | MRI | 484 Train + 266 Test | 0/1 | nii | [CC-BY-SA 4.0](https://creativecommons.org/licenses/by-sa/4.0/) |

[Aistudio下载](https://aistudio.baidu.com/aistudio/datasetdetail/10277)
## MSD海马体分割
| 名称 | 标注内容 | 类型 | 模态 | 数量 | 标签格式 | 文件格式 | License |
| - | - | - | - | - | - | - | - |
| [MSD Hippocampus Segmentation](http://medicaldecathlon.com/) | 海马体 | 分割 | MRI | 394 | 0/1 | nii | [CC-BY-SA 4.0](https://creativecommons.org/licenses/by-sa/4.0/) |

[Aistudio下载](https://aistudio.baidu.com/aistudio/datasetdetail/23862)
## Iseg2019
| 名称 | 标注内容 | 类型 | 模态 | 数量 | 标签格式 | 文件格式 |
| - | - | - | - | - | - | - |
| [Iseg2019](http://iseg2019.web.unc.edu/) | | | | | | |
## ABIDE
| 名称 | 标注内容 | 类型 | 模态 | 数量 | 标签格式 | 文件格式 |
| - | - | - | - | - | - | - |
| [ABIDE](http://fcon_1000.projects.nitrc.org/indi/abide/) | 是否有自闭症 | 分类 | MRI | 539+573 | | |
自闭症患者的头部MRI扫描,包含539例自闭症患者和573个正常扫描对照组。 介绍论文: [The autism brain imaging data exchange: towards a large-scale evaluation of the intrinsic brain architecture in autism.](https://www.ncbi.nlm.nih.gov/pubmed/23774715)
[下载地址](http://preprocessed-connectomes-project.org/abide/download.html)
## ADNI
| 名称 | 标注内容 | 类型 | 模态 | 数量 | 标签格式 | 文件格式 |
| - | - | - | - | - | - | - |
| [ADNI](http://adni.loni.usc.edu/data-samples/access-data/) | | | | | | |
介绍论文: [Alzheimer's Disease Neuroimaging Initiative (ADNI)](https://n.neurology.org/content/74/3/201.short)
## 脑出血
### RSNA Intracranial Hemorrhage Detection
| 名称 | 标注内容 | 类型 | 模态 | 数量 | 标签格式 | 文件格式 |
| - | - | - | - | - | - | - |
| [RSNA Intracranial Hemorrhage Detection](https://www.kaggle.com/c/rsna-intracranial-hemorrhage-detection) | | | CT | | | |
[Aistudio下载](https://aistudio.baidu.com/aistudio/datasetdetail/35741)
# 肾脏
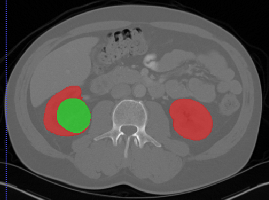
## Kits19
| 名称 | 标注内容 | 类型 | 模态 | 数量 | 标签格式 | 文件格式 | License |
| - | - | - | - | - | - | - | - |
| [Kits19](https://kits19.grand-challenge.org/) | 肾脏/肾肿瘤 | 分割 | | | | | |

[Aistudio下载](https://aistudio.baidu.com/aistudio/datasetdetail/24582)
# 肠
## CT COLONOGRAPHY
| 名称 | 标注内容 | 类型 | 模态 | 数量 | 标签格式 | 文件格式 |
| - | - | - | - | - | - | - |
| [CT COLONOGRAPHY](https://wiki.cancerimagingarchive.net/display/Public/CT+COLONOGRAPHY#dc149b9170f54aa29e88f1119e25ba3e) | | | CT | | | |
包含没有结肠息肉,有6-9mm息肉和大于10mm息肉的数据。
## MSD肠道分割数据集
| 名称 | 标注内容 | 类型 | 模态 | 数量 | 标签格式 | 文件格式 | License |
| - | - | - | - | - | - | - | - |
| [MSD肠道分割数据集](http://medicaldecathlon.com/) | 结肠癌原发病灶 | 分割 | CT | 126训练+64测试 | | | [CC-BY-SA 4.0](https://creativecommons.org/licenses/by-sa/4.0/) |
[Aistudio下载](https://aistudio.baidu.com/aistudio/datasetdetail/10332)
# 心脏
## EchoNet
| 名称 | 标注内容 | 类型 | 模态 | 数量 | 标签格式 | 文件格式 |
| - | - | - | - | - | - | - |
| [EchoNet](https://echonet.github.io/dynamic/index.html) | 心脏 | 分割 | MRI | 10300 | 0/1 | |
介绍论文: [EchoNet-Dynamic: a Large New Cardiac Motion Video Data Resource for Medical Machine Learning](https://echonet.github.io/dynamic/NeuroIPS_2019_ML4H%20Workshop_Paper.pdf)
## MMWHS
| 名称 | 标注内容 | 类型 | 模态 | 数量 | 标签格式 | 文件格式 |
| - | - | - | - | - | - | - |
| [MMWHS](https://zmiclab.github.io/projects/mmwhs/) | 心脏 | 分割 | CT / MRI | 20CT、20MRI | 类别 | nii |
mmwhs是心脏分割数据集,共有8类,MRI和CT两种模态 相关项目: [Hybrid Loss Guided Convolutional Networks for Whole Heart Parsing](https://github.com/xy0806/miccai17-mmwhs-hybrid)
[Aistudio下载](https://aistudio.baidu.com/aistudio/datasetdetail/38799)
## MSD心脏分割
| 名称 | 标注内容 | 类型 | 模态 | 数量 | 标签格式 | 文件格式 | License |
| - | - | - | - | - | - | - | - |
| [MSD心脏分割](http://medicaldecathlon.com/) | 左心房 | 分割 | MRI | 20(训练)+10(测试) | | | [CC-BY-SA 4.0](https://creativecommons.org/licenses/by-sa/4.0/) |

[Aistudio下载](https://aistudio.baidu.com/aistudio/datasetdetail/23911)
## 主动脉
### 冠状动脉分割
| 名称 | 标注内容 | 类型 | 模态 | 数量 | 标签格式 | 文件格式 | License |
| - | - | - | - | - | - | - | - |
| [Automated Segmentation of Coronary Arteries](https://asoca.grand-challenge.org/) | 冠状动脉 | 分割 | CTA | 40+20 | | | [Custom](https://zenodo.org/record/3819799#.YKccAUQzbIU) |
[Grand Challenge下载](https://asoca.grand-challenge.org/)
# 眼睛
## DRIVE
| 名称 | 标注内容 | 类型 | 模态 | 数量 | 标签格式 | 文件格式 |
| - | - | - | - | - | - | - |
| [DRIVE](https://drive.grand-challenge.org/) | 眼底血管 | 分割 | 眼底照片 | 40 | 0/1 | 图片 |
DRIVE数据集是一个糖尿病病人眼底血管分割数据集。
[Aistudio下载](https://aistudio.baidu.com/aistudio/datasetdetail/27737)
## ODIR-5k
| 名称 | 标注内容 | 类型 | 模态 | 数量 | 标签格式 | 文件格式 |
| - | - | - | - | - | - | - |
| [ODIR-5k](https://odir2019.grand-challenge.org/) | 正常和7种疾病 | 分类 | 眼底彩色照片 | 5000 | | 图片 |
ODIR-5K包括5000名患者的年龄,双眼的彩色眼底照片和医生的诊断关键词。该数据集是上工医疗技术有限公司从中国不同医院/医疗中心收集的“真实”患者信息。在这些机构中,眼底图像由市场上的各种相机捕获,例如Canon,Zeiss和Kowa,因此导致各种各样的图像分辨率。病人的识别信息会被移除。注释由经过培训的人类读者进行标记,并具有质量控制管理。患者分为8个标签,包括正常(N),糖尿病(D),青光眼(G),白内障(C),AMD(A),高血压(H),近视(M)和其他疾病/异常(O)。
[//]: # (TODO:搬运,添加下载链接)
## FIRE 视网膜图像数据
| 名称 | 标注内容 | 类型 | 模态 | 数量 | 标签格式 | 文件格式 |
| - | - | - | - | - | - | - |
| [FIRE 视网膜图像数据](http://www.ics.forth.gr/cvrl/fire/) | | 分类 | 视网膜图像 | 129 | | |
FIRE 是一个视网膜眼底图像数据集,包含 129张 眼底视网膜图像,由不同特征组合成 134对 图像组合。这些图像组合根据特质被划分为3类。眼底图像由 Nidek AFC-210 眼底照相机采集,分辨率为2912x2912,视觉仰角为40度。图像由 Papageorgiou Hospital 医院和Aristotle University of Thessaloniki大学共同构建,由于Thessaloniki 大学采集自39名患者。. 数据包括以下几部分内容: 1.成对的视网膜图像。 2.彩色ROI掩模(作为二值图像)。 3.特征ROI掩模(作为二值图像)。 4.每个图像对应的标注点。
[//]: # (TODO:添加数据集链接)
## STARE
| 名称 | 标注内容 | 类型 | 模态 | 数量 | 标签格式 | 文件格式 | License |
| - | - | - | - | - | - | - | - |
| [STARE](https://cecas.clemson.edu/~ahoover/stare/) | 眼底血管 | 分割 | 眼底照片 | 400 | 照片 | 照片 | 无 |

STructured Analysis of the Retina数据集包含400张眼底照片,作者团队对这些数据进行了多种诊断,并对部分数据的血管进行了标注
[Aistudio下载](https://aistudio.baidu.com/aistudio/datasetdetail/81241)
## CHASE_DB1
| 名称 | 标注内容 | 类型 | 模态 | 数量 | 标签格式 | 文件格式 | License |
| - | - | - | - | - | - | - | - |
| [CHASE_DB1](https://blogs.kingston.ac.uk/retinal/) | 眼底血管 | 分割 | 眼底照片 | 28 | png | png | 无 |

Kinston大学公开的一个小规模眼底分割数据集,包含28张眼底照片及对应的分割标签。
[Aistudio下载](https://aistudio.baidu.com/aistudio/datasetdetail/81247)
# 细胞
## Data Science Bowl 18
| 名称 | 标注内容 | 类型 | 模态 | 数量 | 标签格式 | 文件格式 |
| - | - | - | - | - | - | - |
| [Data Science Bowl 18](https://www.kaggle.com/c/data-science-bowl-2018) | 细胞核 | 分割 | | 841张/37333个细胞核 | 0/1 | 图片 |
细胞核分割数据集
介绍论文: [Nucleus segmentation across imaging experiments: the 2018 Data Science Bowl](https://www.ncbi.nlm.nih.gov/pubmed/31636459)
[Aistudio下载](https://aistudio.baidu.com/aistudio/datasetdetail/10292)
## 血细胞涂片分类
| 名称 | 标注内容 | 类型 | 模态 | 数量 | 标签格式 | 文件格式 |
| - | - | - | - | - | - | - |
| [血细胞涂片分类](https://www.kaggle.com/paultimothymooney/blood-cells) | 四种血细胞类型 | 分类 | 镜检 | 12500 | - | 图片 |
血细胞分类数据集包含12500张四种血细胞的照片。图片是从大的血细胞涂片照片上截下来的,数据集经过增广。图片都很小,训练时注意IO瓶颈。
[Aistudio下载](https://aistudio.baidu.com/aistudio/datasetdetail/10278)
## ISBI细胞跟踪
| 名称 | 标注内容 | 类型 | 模态 | 数量 | 标签格式 | 文件格式 |
| - | - | - | - | - | - | - |
| [ISBI细胞跟踪](http://celltrackingchallenge.net/) | 细胞像素级别位置 | 跟踪 | 镜检 | | | 图片 |
在镜检视频中像素级跟踪细胞位置
Aistudio下载 [2D+Time Datasets](https://aistudio.baidu.com/aistudio/datasetdetail/78515)
# 骨骼
## MURA-1.1
| 名称 | 标注内容 | 类型 | 模态 | 数量 | 标签格式 | 文件格式 |
| - | - | - | - | - | - | - |
| [MURA-1.1](https://stanfordmlgroup.github.io/competitions/mura/) | 正常/非正常 | 分类 | x-ray | 40561 | | |
介绍论文: [MURA: Large Dataset for Abnormality Detection in Musculoskeletal Radiographs](https://arxiv.org/abs/1712.06957)
[Aistudio下载](https://aistudio.baidu.com/aistudio/datasetdetail/20010)
## RSNA Bone Age
| 名称 | 标注内容 | 类型 | 模态 | 数量 | 标签格式 | 文件格式 |
| - | - | - | - | - | - | - |
| [RSNA Bone Age](https://www.kaggle.com/kmader/rsna-bone-age) | | | | | | |
[Aistudio下载](https://aistudio.baidu.com/aistudio/datasetdetail/36300)
## 膝盖
### MRNet
| 名称 | 标注内容 | 类型 | 模态 | 数量 | 标签格式 | 文件格式 |
| - | - | - | - | - | - | - |
| [MRNet](https://stanfordmlgroup.github.io/competitions/mrnet/) | | | | | | |
[Aistudio下载](https://aistudio.baidu.com/aistudio/datasetdetail/24584)
## 脊椎
### Verse大规模脊椎分割数据集
| 名称 | 标注内容 | 类型 | 模态 | 数量 | 标签格式 | 文件格式 | License |
| - | - | - | - | - | - | - | - |
| [VerSe](https://github.com/anjany/verse) | 脊椎 | 分割 | | | | | [CC BY-SA 4.0](https://creativecommons.org/licenses/by-sa/4.0/) |
[Aistudio下载](https://aistudio.baidu.com/aistudio/datasetdetail/86496)
# 前列腺
## PANDA
| 名称 | 标注内容 | 类型 | 模态 | 数量 | 标签格式 | 文件格式 |
| - | - | - | - | - | - | - |
| [PANDA](https://www.kaggle.com/c/prostate-cancer-grade-assessment/overview) | 前列腺癌分级 | | 镜检图片 | 10616张镜检 | 分类 | tiff |
## MSD前列腺分割
| 名称 | 标注内容 | 类型 | 模态 | 数量 | 标签格式 | 文件格式 | License |
| - | - | - | - | - | - | - | - |
| [MSD前列腺分割](http://medicaldecathlon.com/) | 前列腺中央腺体及外周区域 | 分割 | 多模态核磁 | 32(训练)+16(测试) | | | [CC-BY-SA 4.0](https://creativecommons.org/licenses/by-sa/4.0/) |

[Aistudio下载](https://aistudio.baidu.com/aistudio/datasetdetail/23912)
## QIN-PROSTATE-Repeatability
| 名称 | 标注内容 | 类型 | 模态 | 数量 | 标签格式 | 文件格式 |
| - | - | - | - | - | - | - |
| [QIN-PROSTATE-Repeatability](https://wiki.cancerimagingarchive.net/display/Public/QIN-PROSTATE-Repeatability) | 前列腺癌 | | MRI | 15 | | dcm |

[Aistudio下载](https://aistudio.baidu.com/aistudio/datasetdetail/63950)
# 胰腺
## MSD胰腺分割
| 名称 | 标注内容 | 类型 | 模态 | 数量 | 标签格式 | 文件格式 | License |
| - | - | - | - | - | - | - | - |
| [MSD胰腺分割](http://medicaldecathlon.com/) | 胰腺肿瘤 | 分割 | CT | 282(训练)+139(验证) | 0/1 | nii | [CC-BY-SA 4.0](https://creativecommons.org/licenses/by-sa/4.0/) |
[Aistudio下载](https://aistudio.baidu.com/aistudio/datasetdetail/23914)
## PDMR-833975-119-R
| 名称 | 标注内容 | 类型 | 模态 | 数量 | 标签格式 | 文件格式 |
| - | - | - | - | - | - | - |
| [PDMR-833975-119-R](https://wiki.cancerimagingarchive.net/display/Public/Imaging+tissue+characterization+of+a+patient+derived+xenograft+model+of+adenocarcinoma+pancreas%3A+PDMR-833975-119-R) | 胰腺癌 | | MRI | 20 | | dcm |

[Aistudio下载](https://aistudio.baidu.com/aistudio/datasetdetail/64052)
# 皮肤
## SIIM-ISIC Melanoma Classification
| 名称 | 标注内容 | 类型 | 模态 | 数量 | 标签格式 | 文件格式 |
| - | - | - | - | - | - | - |
| [SIIM-ISIC Melanoma Classification](https://www.kaggle.com/c/siim-isic-melanoma-classification/data) | 皮肤癌病变类别 | 分类 | 皮肤镜 | 88.3K张图片 | 类别 | dicom |
目前最大的皮肤镜图像集合,用来在皮肤病变图像中之别黑色素瘤,图片以DICOM格式提供,同时包含图像元数据,有的图像也以JPEG和TFRecord格式提供,TFRecords格式的图像已被调整为统一的1024x1024
[//]: # (TODO: 添加这个数据集的下载)
# VQA
## PathVQA
| 名称 | 标注内容 | 类型 | 模态 | 数量 | 标签格式 | 文件格式 |
| - | - | - | - | - | - | - |
| [PathVQA](https://pathvqachallenge.grand-challenge.org/PathVQA_challenge/) | | | 图片 | 4998图片/32799问答 | | 图片 |
介绍论文: [PathVQA: 30000+ Questions for Medical Visual Question Answering](https://arxiv.org/abs/2003.10286)
[Aistudio下载](https://aistudio.baidu.com/aistudio/datasetdetail/25239)
# 内窥镜
## SARAS-MESAD
| 名称 | 标注内容 | 类型 | 模态 | 数量 | 标签格式 | 文件格式 | License |
| - | - | - | - | - | - | - | - |
| [SARAS-MESAD](https://saras-mesad.grand-challenge.org/) | 24种动作 | 静态背景动作识别 | 内窥镜 | 4(真实手术)+5(模拟手术) | | | [CC BY-NC-SA 4.0](https://creativecommons.org/licenses/by-nc-sa/4.0/) |

[//]: # (TODO: [Aistudio下载](https://aistudio.baidu.com/aistudio/datasetdetail/90922)
## SARAS-MESAD
| 名称 | 标注内容 | 类型 | 模态 | 数量 | 标签格式 | 文件格式 | License |
| - | - | - | - | - | - | - | - |
| [SARAS-ESAD](https://saras-esad.grand-challenge.org/) | 21种手术动作 | 静态背景动作识别 | 内窥镜 | 22,601(训练)+4,574(测试) | 图片 | BB | [CC BY-NC-SA](https://creativecommons.org/licenses/by-nc-sa/3.0/) |

[//]: # (TODO: [Aistudio下载](https://aistudio.baidu.com/aistudio/datasetdetail/90922)
# 医学影像数据库
[TCIA](https://www.cancerimagingarchive.net/):The Cancer Imaging Archive
[MedPix](https://medpix.nlm.nih.gov/home) 包含超过12000名患者和59000张影像
[Belarus tuberculosis portal](http://tuberculosis.by/) 包含结核病人的CT,胸透和检验数据
[Grand Challenges](https://grand-challenge.org/)
[LONI](https://ida.loni.usc.edu/login.jsp) 神经相关医学影像
# 参考项目/列表
[医学影像分割挑战](http://medicaldecathlon.com/)
[胸部\肺部ct数据集](https://aistudio.baidu.com/aistudio/projectdetail/431782)
[//]: # (TODO: https://github.com/Awesome-Image-Registration-Organization/awesome-image-registration#21-datasets 配准)
[//]: # (TODO: )
[adalca](https://github.com/adalca/medical-datasets)
[//]: # (TODO: )
[beamandrew](https://github.com/beamandrew/medical-data)
[//]: # (TODO: )
[Stanford ML Group](https://stanfordmlgroup.github.io/)
[//]: # (TODO: )
[omic tools](https://omictools.com/)
[//]: # (TODO: )
[各领域公开数据集](https://zhuanlan.zhihu.com/p/25138563)
[//]: # (TODO: )
[medical-imaging-datasets](https://github.com/sfikas/medical-imaging-datasets)
[//]: # (TODO: )
[Open-Access Medical Image Repositories](http://www.aylward.org/notes/open-access-medical-image-repositories)
[//]: # (TODO: )
[Medical Image Datasets Download Links](https://www.ilovephd.com/medical-image-datasets-download-links/)
[//]: # (TODO: )
[HAM10000 dataset](https://dataverse.harvard.edu/dataset.xhtml?persistentId=doi:10.7910/DVN/DBW86T)
[//]: # (TODO: )
[Dermatology Image Classification](https://www.kaggle.com/yuningalexliu/dermatology-image-classification)
[//]: # (TODO: )
[havard](https://library.med.utah.edu/kw/derm/)
[//]: # (TODO: )
[usc](http://sipi.usc.edu/database/)
[//]: # (TODO: )
[burkely](https://www2.eecs.berkeley.edu/Research/Projects/CS/vision/bsds/)
[//]: # (TODO: )
[isdis](https://isdis.net/)
[//]: # (TODO: )
[radiopedia](https://radiopaedia.org/articles/imaging-data-sets-artificial-intelligence)
[//]: # (TODO: )
[aimi](https://aimi.stanford.edu/research/public-datasets)
[//]: # (TODO: https://zhuanlan.zhihu.com/p/24634505 )
# 贡献者
(按照首次贡献时间排序)
[多语言代码生成器](https://aistudio.baidu.com/aistudio/personalcenter/thirdview/33061) Mail : linhandev@qq.com
[自尊心3](https://aistudio.baidu.com/aistudio/personalcenter/thirdview/218586)
[底迪](https://aistudio.baidu.com/aistudio/personalcenter/thirdview/31756)
[ChenchenHu007](https://github.com/ChenchenHu007)
[lixinhui541](https://github.com/lixinhui541)
# Release Note
2021/5/21
开始添加数据集图片,接受多次外部贡献,对存量数据集进行合规检查,数据集总量达到71
2020/11/20
添加Issue模板,鼓励外部贡献,数据集数量达到67
2020/11/8
在Github发布,整理格式,添加多个数据集
2020/6/11
添加LIDC-IDIR,编写数据压缩脚本
2020/6/4
添加MMWHS心脏分割数据集,SIIM皮肤病分类比赛数据集
2020/5/27
添加ISBI细胞分割,TCGA-LIHC肝脏,4D-Lung肺部数据集,围绕乳腺癌添加一系列数据集
2020/5/20
项目添加数据集计数和release note,数据集方面添加 RSNA骨龄,PathVQA,FIRE视网膜,DDSM乳腺癌等数据集
2020/5/13
项目在Aistudio公开,包含约40个数据集
[//]: # (TODO: 做一个tcia转nii的py程序)
[//]: # (TODO: 图片一样的大小,居中)